对于爱美的人来说,除了要拥有姣好的面容之外,连牙齿也必须要整齐划一才可以,但是在成长发育过程中,我们免不了的会出现牙齿黑黄、缺牙、牙齿不整齐以及牙齿稀疏牙缝大的情况,在之前的文章中我们也都介绍了关于牙齿的一些治疗病例,牙齿黑黄可以通过洗牙和牙齿美白的方式来进行改善,缺牙可以通过种植牙手术来进行治疗,牙齿不整齐则需要通过牙齿矫正来辅助治疗,那么如果只是单纯的牙缝大怎么办?牙缝怎么修复好?

牙缝大是由什么原因引起的?
一般来说牙缝大可能是由于,牙周炎、牙齿缺失导致的牙齿位移、牙齿邻面龋坏、长期不卫生的用牙习惯导致的食物嵌塞,加上没有及时处理在日常的用牙过程中,牙齿疾病进一步发展,牙龈萎缩导致出现齿缝过大的情况出现。
牙缝大怎么办?
如果自己有上述的问题,可以在日常的生活中就注意日常的牙齿清洁,餐后要及时的漱口刷牙,使用牙线洗牙器等设备来清除残留在牙缝内的食物残渣,如果开始意识到自己的牙缝有进一步的变大趋势,就需要及时的到口腔门诊来进行检查治疗,如果有牙齿缺失的问题就需要进行牙齿种植修复,已经出现了全口牙缝稀疏过大的情况的时候就需要进行牙齿正畸治疗。

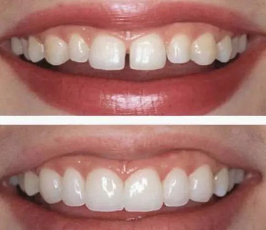
带大家看看西安海涛口腔医院口腔科治疗牙缝大的病例资料
在西安海涛口腔医院,选择的是比较保守且快速的牙缝治疗方法,在没有牙齿缺失且牙齿发育相对比较整齐的情况下,海涛口腔对于牙缝较大的患者,采用的治疗方式是采用牙齿贴面修复,这种方法需要把牙齿磨掉一部分之后来进行牙贴面的安装,由于原本我们的牙缝就比较大,给与我们进行操作的空间还是有一定的距离,并不需要磨掉过多的牙齿。
通过牙贴面的安装来遮盖牙缝,从病例资料可以看出,之前我们的患者牙缝属于比较大的情况,且有牙齿发黄的问题,由于牙贴面的材质和颜色和真牙几乎无异,在看装之后我们可以看到达到了我们理想的改善牙粉宽大的情况,同时一举两得的改善了牙齿发黄变色的问题,大家可以根据自己的情况选择治疗手段。