说实话你的牙齿缝隙是不是越来越大?而且门牙尤为突出?越来越明显的缝隙是不是看上去非常不舒服?
近期很多牙友咨询比较多的就是门牙和临近的牙齿缝隙越来越大,难道我要花很多钱、很多时间去做牙齿矫正吗?
也许你的情况不想需要那么麻烦呢?今天小编就来科普一下,关于牙缝大怎么解决的几个思路。拿小本本快记好!

思路一:牙齿矫正
牙齿矫正的方向是针对牙齿咬合关系、牙齿错位、牙齿整体美观度进行全面性的改善,当然前提是 牙根也有问题。
这里指的就是牙齿没有太歪,但是它不那么正,所以即便是体现在牙齿上是一个比较宽的缝隙,那么也是要进行科学性矫治才能从根源解决这个问题。
通过X片、头颅侧位片等精密设备检查后才能确定是不是要做矫正,所以不要上去就说我要矫正,也许黑心医生真的给你乱矫正呢?
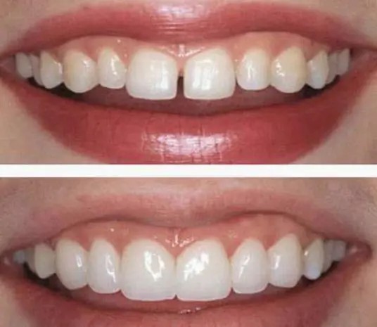
思路二:牙齿美学修复
牙齿美学修复主要是针对牙冠进行美学方面的修复,很多人会想到套牙冠,其实并不全是,这里主要是针对美学方面的修复,目前采用比较多的就是牙贴面。
牙贴面是在牙齿唇侧外面稍微打薄一点(不过也有些人牙齿自身就并不是很大,所以也不打薄的情况),把精细测量后制作完成的贴面粘贴在牙齿表面,而且能够解决不少问题。

目前市面上常见的是瓷贴面,有玻璃陶瓷、琥珀瓷等花里胡哨的名字,其实主要成分都是氧化锆瓷成分,比真牙的硬度还高,而且美观度、通透度、光泽度都十分不错,也是不少明星、网红都选择美牙的材料哦。
瓷贴面针对牙齿表面坑洼不平、牙齿发黄、四环素牙、氟斑牙、牙齿小部分缺损、牙齿形状不美观等情况都能进行改善,主要改善的牙齿是“微笑十六齿”,上牙八颗、下牙八颗,修复完的结果那叫一个美~
文末小编提醒你,牙齿有缝隙还是要请专门的牙科医生来进行检查,如果是牙根连带牙冠都整体有问题,那么不管缝隙多大,矫正才能解决。
如果仅仅是牙冠缺失、磨损变小,造成的牙缝变大,不用浪费时间去做牙齿矫正,贴个牙贴面就搞定啦!